Европейские исследователи представили революционное решение в области офтальмологии — электронный глазной имплант PRIMA, который помог пациентам, полностью утратившим зрение, вновь научиться читать. Результаты клинического исследования, проведённого при участии специалистов из Университетского колледжа Лондона (UCL) и госпиталя Moorfields Eye Hospital, стали настоящим прорывом в создании искусственного зрения.

Испытания проводились среди пациентов, ослепших из-за географической атрофии — тяжёлой формы сухой возрастной дегенерации макулы (AMD), на которую сегодня нет одобренных методов лечения.
В исследовании участвовали 38 человек из пяти стран, включая Великобританию, Францию, Италию и Нидерланды. У всех пациентов было полностью утрачено центральное зрение на одном глазу. После имплантации устройства 84% участников смогли вновь распознавать буквы, цифры и слова, а средний показатель улучшения зрения составил пять строк на стандартной таблице проверки остроты зрения. До операции большинство участников не видели таблицу вовсе.
«Это начало новой эры в истории искусственного зрения», — отметил профессор Махи Мукіт из Института офтальмологии UCL. По его словам, возвращение способности читать положительно сказалось на эмоциональном состоянии пациентов, повысило их уверенность и независимость.
Как работает технология искусственного зрения
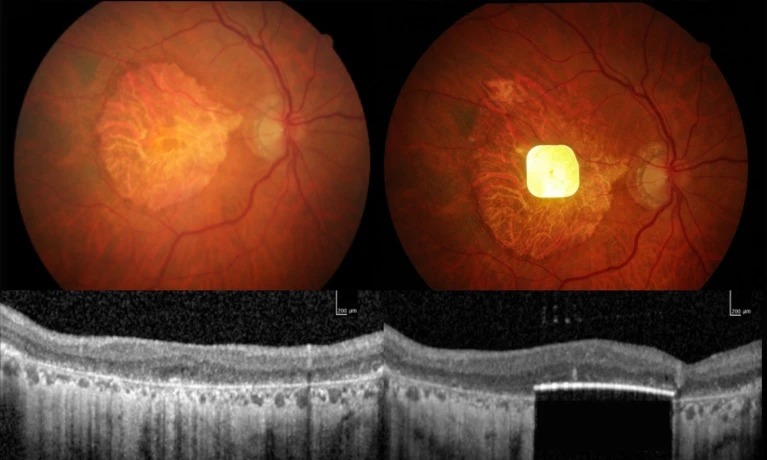
Имплантация PRIMA начинается с витрэктомии — удаления стекловидного тела глаза. Затем под центральную часть сетчатки помещается микрочип размером всего 2×2 миллиметра, по форме напоминающий SIM-карту.

После восстановления пациент использует специальные AR-очки, соединённые с мини-компьютером, закреплённым на поясе. Камера очков фиксирует изображение и передаёт его в виде инфракрасного сигнала на имплант.
Встроенные алгоритмы искусственного интеллекта преобразуют эти сигналы в электрические импульсы, которые через зрительный нерв передаются в мозг. В результате формируется новое визуальное восприятие.
Пациенты заново учатся читать, используя масштабирование и движения глаз. Полная реабилитация занимает несколько месяцев. При этом, как отмечают врачи, периферическое зрение остаётся неизменным — имплант воздействует только на утраченный участок макулы.
Одна из участниц британской части исследования, Шейла Ирвин, рассказала, что до операции её зрение напоминало «два чёрных круга» в центре поля зрения. После имплантации она вновь смогла различать буквы и слова: «Это невероятное ощущение — видеть буквы снова. Учиться читать заново нелегко, но чем больше практикуюсь, тем лучше получается».
Сегодня Ирвин читает мелкий шрифт, решает кроссворды и изучает этикетки на продуктах. «Это полностью изменило мою жизнь. Чтение возвращает тебя в мир, и я снова чувствую оптимизм», — говорит она.
Имплант PRIMA стал первым устройством, способным восстанавливать способность читать у людей с полной потерей центрального зрения. Операция занимает менее двух часов и может проводиться любым офтальмохирургом, прошедшим соответствующее обучение.
Разработкой технологии занимается компания Science Corporation, специализирующаяся на нейроинтерфейсах и биоинженерии. По словам Мукіта, это лишь начало:
«Теперь, когда у нас нет лицензированных методов лечения сухой формы AMD, такие устройства открывают путь к новым терапевтическим подходам».
Результаты исследования опубликованы в журнале The New England Journal of Medicine, а эксперты уже называют проект одним из самых значимых достижений в офтальмологии за последние десятилетия.
